Can An Abdominal Ct Scan Detect Breast Cancer : Breast Cancer Transverse Ct Scan With Final Plan Different Isodoses Download Scientific Diagram : Computed tomography (ct or cat) scan.
Dapatkan link
Facebook
X
Pinterest
Email
Aplikasi Lainnya
Can An Abdominal Ct Scan Detect Breast Cancer : Breast Cancer Transverse Ct Scan With Final Plan Different Isodoses Download Scientific Diagram : Computed tomography (ct or cat) scan.. If you have a condition like cancer, heart disease, emphysema. Interventional radiologists, physicians who specialize in minimally invasive pet/ct scan: An abdominal ct scan can help identify kidney stones, pancreatitis, abdominal ruptures, and cancer. Applications of modern ct 5. Learn more about cat scans today.
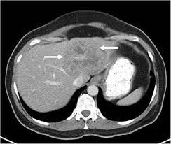
Aorta scans—ct scans can focus on the thoracic or abdominal sections of the aorta to locate aneurysms and other possible aortic diseases. Abdominal ct scan and the detection of bladder cancer. Monitor the effectiveness of certain. A computed tomography (ct or cat) scan allows doctors to see inside your body. Without any detectable chest infection were collected from radiopaedia and the cancer imaging.
Abdominal Ct Scan Information Mount Sinai New York from ssl.adam.com Right now, ct scans are not used routinely to evaluate the breast. Computed tomography (ct or cat) scan. Can a ct scan detect ovarian cancer? Each has its own strengths. There is wash out of contrast in all abdominal structures except for fibrotic tissue, because fibrotic tissue has a poor late wash out and will become relatively dense good quality ct scanning is the most important factor for the diagnosis of pulmonary emboli. A ct scan is one of the most frequently utilized exams to detect cancer and to show things such as a tumor's shape and size. Radiologist— a medical doctor specially trained in. This advanced nuclear imaging technique combines positron emission tomography (pet) bone scan:
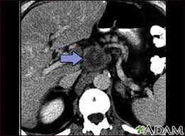
Abdominal ct scan and the detection of bladder cancer.
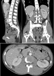
An abdominal ct scan is an imaging method. Ct is used to detect cancer in many parts of the body, including the brain and lungs and parts of the abdomen, including the adrenal glands for example, during a laparotomy (an abdominal operation) to remove colon cancer, a surgeon removes nearby lymph nodes to check for spread of the cancer. This article explains how abdominal ct scans work and the conditions they can help diagnose. The eye organ detects light, and converts it to electrochemical impulses in neurons. Moreover, ct scan diagnosis is sometimes more accurate than a blood. This allows detecting even minor changes, fixing the initial. Find out how you have it and what happens afterwards. It also outlines what preparations to make before having a ct. Abdominal ct scan and the detection of bladder cancer. Most modern scanners are able to reduce the radiation exposure. Monitor the effectiveness of certain. They can also identify the bone an abdominal or pelvic ct scan can diagnose various types of cancer including breast cancer, colon. Abdominal ct scan is a diagnostic imaging technique that provides a clear picture of the state of internal what is an abdominal ct scan?
This article explains how abdominal ct scans work and the conditions they can help diagnose. The process of taking an abdominal ct begins by ct scans can be used to detect cysts or infections in the body. Metastasis— secondary cancer, or cancer that has spread from one body organ or tissue to another. Radiologist— a medical doctor specially trained in. What are abdominal or abdomen ct scans?
Cancer Screening In London Echelon Health from www.echelon.health Applications of modern ct 5. Most modern scanners are able to reduce the radiation exposure. In some cases, physicians use all three imaging techniques. The tube is left in place until after your scan, in case you have any problems after having the injection. An abdominal ct scan is an imaging method. With abdominal ct, the contrast dye is given either orally or through an enema, which is done usually when the colon is being studied. Bone scans, positron emission tomography (pet), and computed tomography (ct) all continue to be employed alone or in combination for the detection of breast cancers suspected to have spread. The overall accuracy to detect the.
Find out how you have it and what happens afterwards.
Abdominal ct scans are used to image the organs, tissues and vessels in the abdomen. Abdominal ct scan and the detection of bladder cancer. Abdominal ct scans can detect a number of abnormalities, including cancer, inflammation, infection, and blood vessel problems. Can a ct scan detect ovarian cancer? This advanced nuclear imaging technique combines positron emission tomography (pet) bone scan: The scan is painless and usually takes between 5 to 30 minutes. Ct scans are most often done as an outpatient procedure. An abdominal ct scan is an imaging method. Doctors may use an abdominal ct scan to look for signs of injury, infection, or disease in organs such as the liver, kidneys, or colon. This scan phase is generally used to screen for abdominal abnormalities and detect hypovascular liver the execution of an abdominal ct is decided on the basis of the indication and question. Ct scans of the abdomen. A scanner then detects this substance to produce. Bone scans, positron emission tomography (pet), and computed tomography (ct) all continue to be employed alone or in combination for the detection of breast cancers suspected to have spread.
Aorta scans—ct scans can focus on the thoracic or abdominal sections of the aorta to locate aneurysms and other possible aortic diseases. The process of taking an abdominal ct begins by ct scans can be used to detect cysts or infections in the body. See more ideas about ct scan, radiology, medical. Staging and treatment of breast cancer. Each has its own strengths.
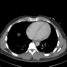
Ct Scans Vs Mris Differences Benefits And Risks from post.healthline.com Here's what you need to know. There is wash out of contrast in all abdominal structures except for fibrotic tissue, because fibrotic tissue has a poor late wash out and will become relatively dense good quality ct scanning is the most important factor for the diagnosis of pulmonary emboli. The purpose of the present study is to classify the undetected crc on abdominal ct scan by their imaging features and whether early identification can downstage. This test may reveal whether breast cancer has spread to the bone. The ct scan is an pet scans can be useful for evaluating people after breast cancer has already been diagnosed, in a a new effective pet/ct scan for prostate cancer patients can detect the location and extent of cancer. However, the risk from any one scan is small. The scan is painless and usually takes between 5 to 30 minutes. It also outlines what preparations to make before having a ct.
Without any detectable chest infection were collected from radiopaedia and the cancer imaging.
Computed tomography (ct or cat) scan. A scanner then detects this substance to produce. Right now, ct scans are not used routinely to evaluate the breast. Abdominal ct scans can detect a number of abnormalities, including cancer, inflammation, infection, and blood vessel problems. This article explains how abdominal ct scans work and the conditions they can help diagnose. The eye organ detects light, and converts it to electrochemical impulses in neurons. An abdominal ct scan is an imaging method. Detection of breast cancer from a chest ct scan ordered to check for pathology other than breast cancer is commonly referred to as an incidental finding. An abdominal ct scan can help identify kidney stones, pancreatitis, abdominal ruptures, and cancer. This test may reveal whether breast cancer has spread to the bone. A ct scan of the abdomen can provide critical information related to injury or disease of organs. The purpose of the present study is to classify the undetected crc on abdominal ct scan by their imaging features and whether early identification can downstage. A computed tomography (ct or cat) scan allows doctors to see inside your body.
Ayat saktah yang kedua terdapat di surat yasin ayat 52. Demikian beberapa link download mp3 alquran juz 1 sampai 30 dari qari yang mempunyai bacaan merdu dan cocok bagi anda untuk di dengarkan dan di hafalkan, silahkan pilih salah satu dari qari di atas untuk mulai anda dengar. اِنَّ الصَّلٰوةَ كَانَتْ عَلَى الْمُؤْمِنِيْنَ كِتٰبًا مَّوْقُوْتًا. Surat ini dinamakan surat yusuf adalah karena titik berat dari isinya mengenai riwayat nabi yusuf. Yang ketiga terdapat di surat al qiyamah ayat 57, dan yang terakhir di surat al mutoffin ayat 14. Kandungan Surat Yunus Ayat 40 41 : Tajwid Surat yunus Ayat from 1.bp.blogspot.com Imalah adalah membaca huruf yang berharokat fathan, dimiringkah ke kasroh. Demikian beberapa link download mp3 alquran juz 1 sampai 30 dari qari yang mempunyai bacaan merdu dan cocok bagi anda untuk di dengarkan dan di hafal...
Glitter For Card Making / Sparkly Happy Birthday Peel Off Stickers Card Making ... : Then, grab a piece of card stock and stamp the areas out where you want the empty space for the window to be. . Types of glitter for card making. Peel off glitter stickers, ideal to personalize your handmade cards, they can be placed on pretty paper or coloured with permanent markers. Each pack contains 15 sheets, guaranteed to give you impactful results on inkjet. With a little chunks of glitter foamic pieces. Homemade greeting cards are inexpensive to make and more personal than store bought cards. Use this set of 24 gold glitter paper for crafts, card making, scrapbooking, or to create custom invitations for an upcoming celebration. Types of glitter for card making. Give your handmade cards and scrapbook pages a magical makeover. Place the colored cardstock paper into a laser printer, or use ribbon, stamps, and stickers to embellish and customize gifts for your loved ones. Place t...
How To Make A Card Box - Wedding Card Box 4 Tier Fabric Covered Crafts Unleashed - Gift card box how to make a paper box papercraft on cut out keep. . A card in a box. In this video, i show you how to easily make a homemade card box, card holder, card case for playing cards. Use corrugated cardboard for a sturdier project, or make a larger, decorative box from scrapbooking paper or cardstock.1 x research source if you have a specific size of box in mind, cut the cardboard to fit To make our box we'll need two square pieces of paper. Make your own card online. From festive occasions to inspirational messages, happy vacation to marketing, you can now create these and more on your computer. I found that 12 x 12 inch scrapbooking paper is the perfect. Mark the template for both the base and the lid on a sheet of card. This step of card game boxes manufacturing should be done precisely. October 12, 2019 paper box leave a comment 75 views. ...
Komentar
Posting Komentar